服务热线
0769-28680919
153-2293-3971 / 177-0769-6579

CCD视觉检测设备在医疗影像分析中的应用主要体现在以下方面:

一、医学影像的采集与预处理
高分辨率成像:CCD传感器能够以高分辨率捕获医学影像(如X光、CT、MRI等),为后续分析提供高质量图像数据。
图像预处理:通过图像处理算法(如灰度变换、二值化、边缘检测、形态学处理等)对原始影像进行增强和去噪,提升图像质量,便于医生观察和诊断。
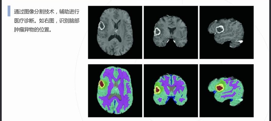
二、病灶检测与识别
自动病灶检测:借助计算机视觉和人工智能算法,CCD视觉检测设备能够自动识别医学影像中的病灶区域,如肿瘤、炎症、骨折等异常结构。
早期癌症筛查:在乳腺癌、肺癌、皮肤癌等癌症的早期筛查中,CCD视觉检测系统通过分析X光、MRI或CT扫描图像,识别出肿瘤的早期迹象,显著提高早期诊断率。
三、医学影像的定量分析与测量
精确测量与评估:CCD视觉检测设备可对病灶的大小、形状、位置等参数进行精确测量,帮助医生量化评估病情,制定更精准的治疗方案。
病情跟踪与对比分析:通过对患者不同时间点的影像数据进行自动对比分析,系统能够监测病情变化,评估治疗效果,辅助医生及时调整治疗方案。
四、手术导航与辅助操作
实时手术导航:在手术过程中,CCD视觉检测设备提供高清晰度的实时影像,帮助医生精准定位手术目标,避开重要神经和血管组织,降低手术风险。
手术模拟与培训:结合虚拟现实技术,CCD视觉系统可用于手术模拟和医生培训,提高手术技能和安全性。
五、医疗制药行业的辅助应用
药品与器械质量检测:在药品生产过程中,CCD视觉检测设备可用于检测药品包装、标签、泡罩内药物颗粒的完整性和准确性,确保药品质量符合标准。
医疗器械生产监控:在医疗器械制造环节,CCD系统可实时监测设备的外观缺陷、尺寸精度、装配位置等,确保产品质量和安全性。
综上所述,CCD视觉检测设备通过高分辨率成像、智能算法分析、精确测量与实时监控,显著提高了医疗影像分析的准确性、效率和安全性,成为现代医学诊断与治疗的重要辅助工具。
胶囊生产线机器视觉检测系统
2026-01-30
胶囊生产线上的机器视觉检测系统,通过非接触式成像和图像分析,能360°自动检测胶囊的外观缺陷(如裂纹、异物、印字不清),替代人工目检,提升药品生产的质量控制效率和合规性。
泡罩包装线机器视觉检测系统
2026-01-30
针对泡罩包装线的机器视觉检测系统,其核心是通过高速成像与智能算法,实现100%在线全检,替代传统人工抽检,主要检测药品/物品缺失、破损、异物、密封不良等缺陷。
药盒印刷缺陷机器视觉检测系统
2026-01-30
一、 为什么需要这样的系统?(必要性) 1. 药品安全与法规合规:药品包装上的信息(如药品名称、剂量、批号、有效期、用法用量)必须100%准确清晰。任何印刷错误(如漏印、错印、模糊)都可能导致严重的用药错误,违反《药品管理法》和GMP(药品生产质量管理规范)等法规。
瓶装药品瓶内异物机器视觉检测系统
2026-01-24
该系统旨在100%全检药品(注射液、西林瓶、口服液、粉针剂等)瓶内的可见异物,如玻璃屑、金属颗粒、毛发、纤维、浮游生物等。
官方公众号
官方抖音号Copyright ? 2022 东莞康耐德智能控制有限公司版权所有.机器视觉系统 粤ICP备2022020204号-1 联系我们 | 网站地图